权威视频

直播回放

强子漫读系列-01-

强子漫读系列-01-19-021-急性病毒性肝炎-程度的不同(一)

2022年07月22日 1591 05分44秒

左侧肋骨包块切除

左侧肋骨包块切除  骨组织横切面  骨髓一致性小细胞肿瘤  浆细胞瘤 低分化 

2022年07月21日 1446 04分42秒

小土豆跟着农人老师学

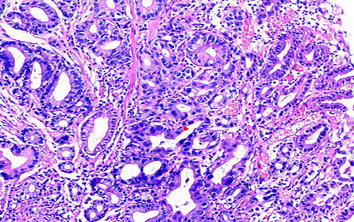
小土豆跟着农人老师学本领-直肠活检 乳头状结构 乳头的轴心为腺窝脉管组织 不规则的腺管浸润性生长 绒毛管状腺瘤局部癌变

2022年07月21日 1468 03分38秒

强子漫读系列-01-

强子漫读系列-01-19-020-急性病毒性肝炎-肝细胞再生及胆管反应

2022年07月21日 1656 07分37秒

胃粘膜活检 腺管不

胃粘膜活检  腺管不规则  出芽生长  低级别到高级别上皮内瘤变 

2022年07月20日 1603 02分45秒

小土豆跟着农人老师学

小土豆跟着农人老师学本领-直肠手术标本 不规则腺管状、条索状结构 粘液湖中漂浮着腺体及印戒细胞 低分化腺癌伴粘液腺癌(约占10%)

2022年07月20日 1408 03分18秒

强子漫读系列-01-

强子漫读系列-01-19-019-急性病毒性肝炎-炎细胞浸润

2022年07月20日 1668 07分14秒

右侧腮腺肿瘤切除

右侧腮腺肿瘤切除  涎腺组织中鳞状上皮囊性病变伴坏死 浸润性生长 鳃裂囊肿伴癌变 

2022年07月19日 1707 04分32秒

小土豆跟着农人老师学

小土豆跟着农人老师学本领-胃窦后壁活检 正常腺体 低级别上皮内瘤变 高级别上皮内瘤变 腺癌 植物细胞

2022年07月19日 1615 04分30秒