权威视频

直播回放

小土豆跟着农人老师学

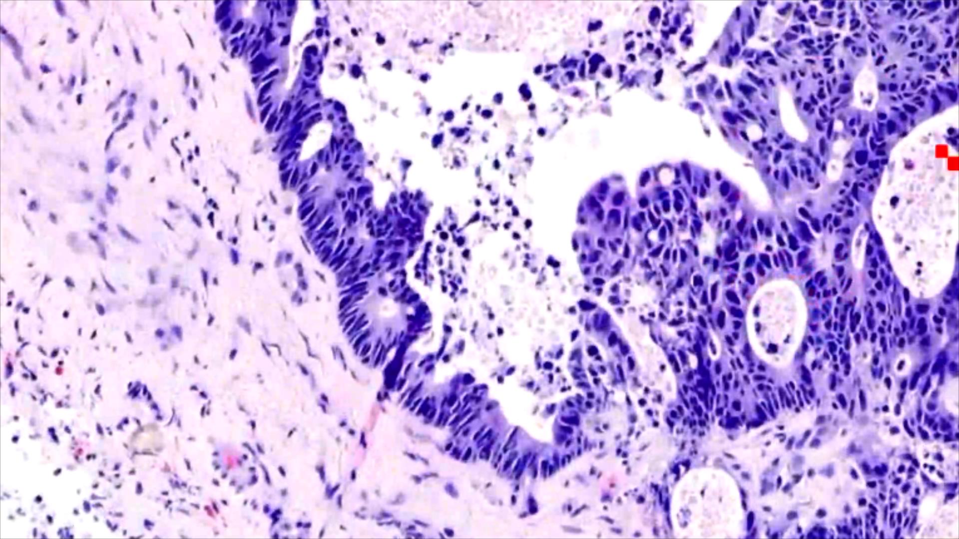
小土豆跟着农人老师学本领-膀胱电切手术 粘膜下印戒细胞散在分布 局部腺管样结构 低分化腺癌(印戒细胞癌)除外转移后考虑膀胱原发

2020年09月13日 1651 05分35秒

强子漫读系列-01-

强子漫读系列-01-10-061-弥漫性特发性肺神经内分泌细胞增生(一)

2020年09月13日 2405 07分40秒

胸壁包块切除 真皮内

胸壁包块切除 真皮内腺管结构肿瘤 肌上皮包绕 促纤维生成性汗管瘤

2020年09月12日 1604 05分14秒

小土豆跟着农人老师学

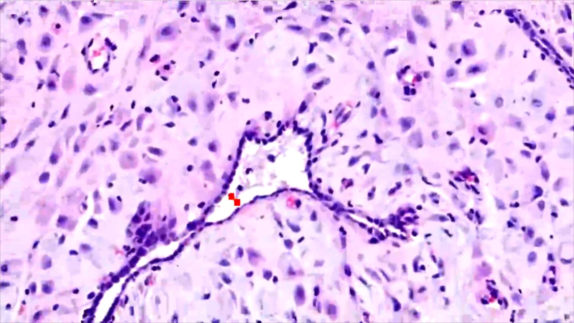
小土豆跟着农人老师学本领-肝占位穿刺组织  腺样结构肿瘤  细胞异型性 腺癌,考虑转移性

2020年09月12日 1674 03分13秒

强子漫读系列-01-

强子漫读系列-01-10-060-肺腺鳞癌

2020年09月12日 2474 07分21秒

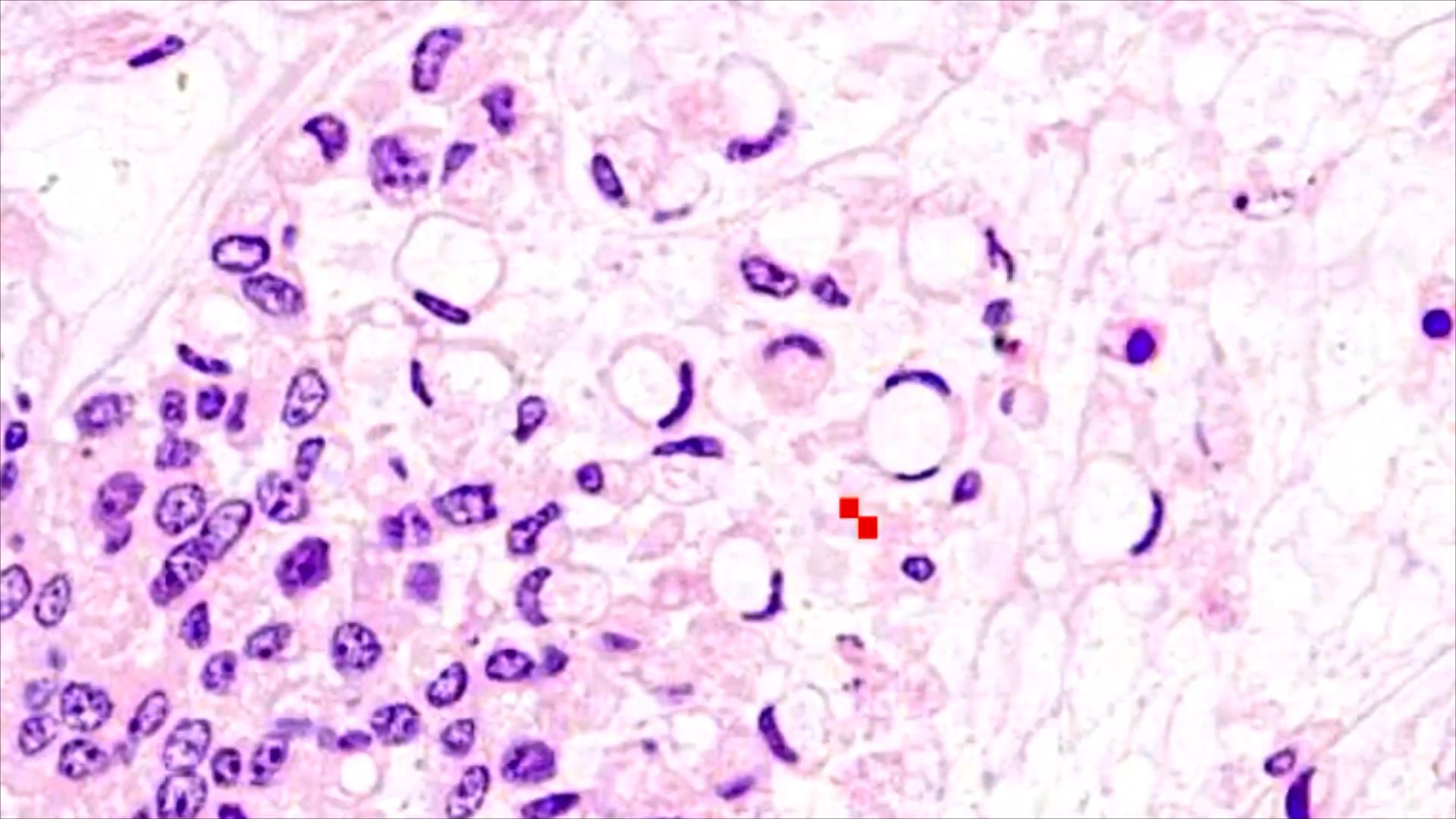
右下颌穿刺 骨骼肌组

右下颌穿刺 骨骼肌组织中挤压的浸润性小细胞肿瘤 首先考虑淋巴瘤

2020年09月11日 1730 04分00秒

小土豆跟着农人老师学

小土豆跟着农人老师学本领-左侧腹壁切口处肿物 大细胞平铺排列 细胞核多形性 腺管状结构 含铁血黄素沉积 腹壁子宫内膜异位症 间质细胞蜕膜变 

2020年09月11日 1816 08分24秒

强子漫读系列-01-

强子漫读系列-01-10-059-肺鳞状细胞癌(三)

2020年09月11日 2425 07分04秒

手部 皮肤 表皮基底

手部 皮肤 表皮基底层黑色素细胞团  复合痣

2020年09月10日 1831 03分06秒