权威视频

直播回放

强子漫读系列-01-

强子漫读系列-01-15-024-消化性十二指肠炎或溃疡(一)

2021年12月02日 1805 10分58秒

周小鸽带你学淋巴病理

周小鸽带你学淋巴病理 鼻咽部淋巴瘤有特点

2021年12月01日 1335 10分42秒

小土豆跟着农人老师学

小土豆跟着农人老师学本领-右甲状腺结节 核拥挤 毛玻璃核 可见核沟 微小乳头状癌

2021年12月01日 1681 03分46秒

强子漫读系列-01-

强子漫读系列-01-15-023-Whipple病(二)

2021年12月01日 1698 06分34秒

宫腔内肿物摘除 大

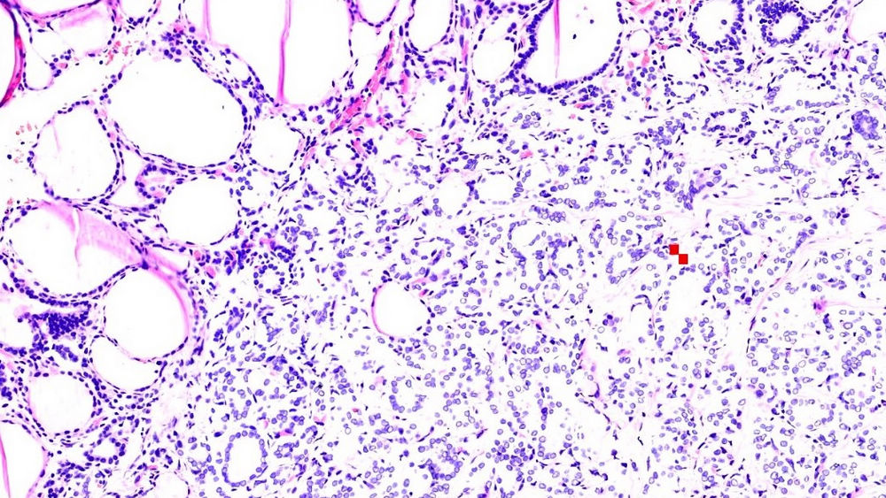
宫腔内肿物摘除  大小不等腺管与实性细胞团  子宫内膜息肉

2021年11月30日 1637 04分16秒

小土豆跟着农人老师学

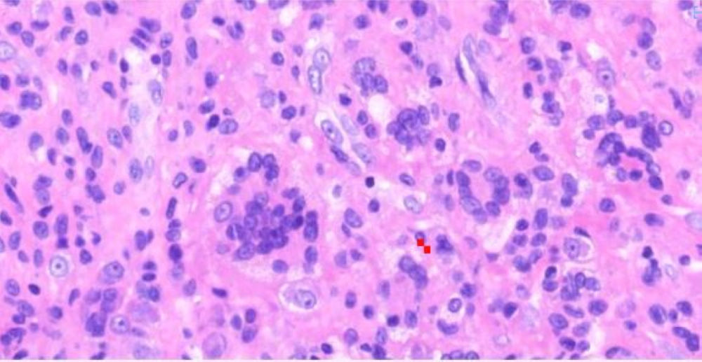
小土豆跟着农人老师学本领-右手第二指肿物 结节状肿瘤 单个核细胞及多核巨细胞 泡沫细胞 淋巴细胞浸润 腱鞘巨细胞瘤

2021年11月30日 1605 03分12秒

强子漫读系列-01-

强子漫读系列-01-15-022-Whipple病(一)

2021年11月30日 1699 05分05秒

周小鸽带你学淋巴病理

周小鸽带你学淋巴病理 MF诊断的要领

2021年11月29日 1337 09分48秒

小土豆跟着农人老师学

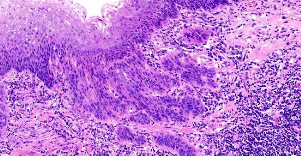
小土豆跟着农人老师学本领-食道手术切除 粘膜表面鳞状上皮缺乏异型性 基底部细胞排列紊乱 浸润性生长  鳞癌

2021年11月29日 1457 07分32秒