权威视频

直播回放

小土豆跟着农人老师学

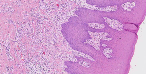
小土豆跟着农人老师学本领-右颊部肿物2个月+鳞状上皮增生伴纤维组织瘤样增生

2023年04月04日 1394 03分41秒

强子漫读系列-01-

强子漫读系列-01-20-094-肝脏转移性肿瘤概述

2023年04月04日 1582 07分05秒

左下眼睑病变切除

左下眼睑病变切除  鳞状上皮外突内陷生长 毛囊分化  毛囊来源良性肿瘤

2023年04月03日 1503 03分07秒

小土豆跟着农人老师学

小土豆跟着农人老师学本领-右大腿皮肤肿物+痣细胞分布于表皮基底部及真皮内+复合痣

2023年04月03日 1431 05分40秒

强子漫读系列-01-

强子漫读系列-01-20-093-肝脏其他肿瘤

2023年04月03日 1498 06分56秒

左侧腋下淋巴结 乳

左侧腋下淋巴结  乳腺癌根治标本  淋巴结肉芽肿性病变

2023年04月02日 1369 03分37秒

小土豆跟着农人老师学

小土豆跟着农人老师学本领-胃窦活检+几个不对称腺管位于粘膜肌+腺癌

2023年04月02日 1429 03分46秒

强子漫读系列-01-

强子漫读系列-01-20-092-肝脏钙化性巢状间质上皮肿瘤

2023年04月02日 1501 07分34秒

胃粘膜活检 低级别

胃粘膜活检  低级别至高级别上皮内瘤变

2023年04月01日 1394 03分52秒